Zuchthündin
Stil de Linnet Felicita

Labrador Zuchthündin

Stil de Linnet Felicita

Chita ist eine im VDH/LCD zugelassene Zuchthündin. Sie erfüllt alle zuchtrelevanten Voraussetzungen und verfügt über einen bestandenen Wesenstest. Alle Gesundheits- und Gentestergebnisse sind nachfolgend transparent aufgeführt.

Rufname: Chita
geboren: 10.04.2022
Vater: CH RUS MDA Rusmairas Flipper
Mutter: Stil de Linnet Yellow Rose
Abstammung

Ahnentafel / Pedigree

Gesundheit, Genetik und Formwert

Die wichtigsten Ergebnisse auf einen Blick

Hier finden Sie die wichtigsten gesundheitlichen Untersuchungsergebnisse, genetischen Befunde und den Formwert dieses Zuchthundes auf einen Blick.

Mehr zu Gesundheit & Genetik
Auf unserer Informationsseite Gesundheit und Genetik erklären wir die wichtigsten Gesundheitsuntersuchungen, genetische Ergebnisse wie frei oder Anlageträger sowie die offiziellen Regelwerke.

Ellenbogendysplasie (ED)

0/0

Hüftgelenkdysplasie (HD)

B1/C1

DOK Augenuntersuchung

frei (zuletzt 18.10.2024)

Gebiss

P4-U.R. P4-U.L fehlen

Formwert

vorzüglich

prcd-PRA

N/N (frei)

EIC

N/M (Anlageträger)

HNPK

N/N (frei)

Dilute

D/D (frei)

Langhaar

L/l (Anlageträger)

Fellfarbe

gelb (BBee)

Nachweise & Dokumente

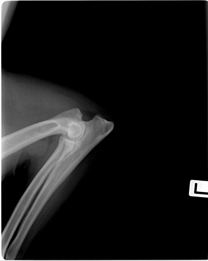
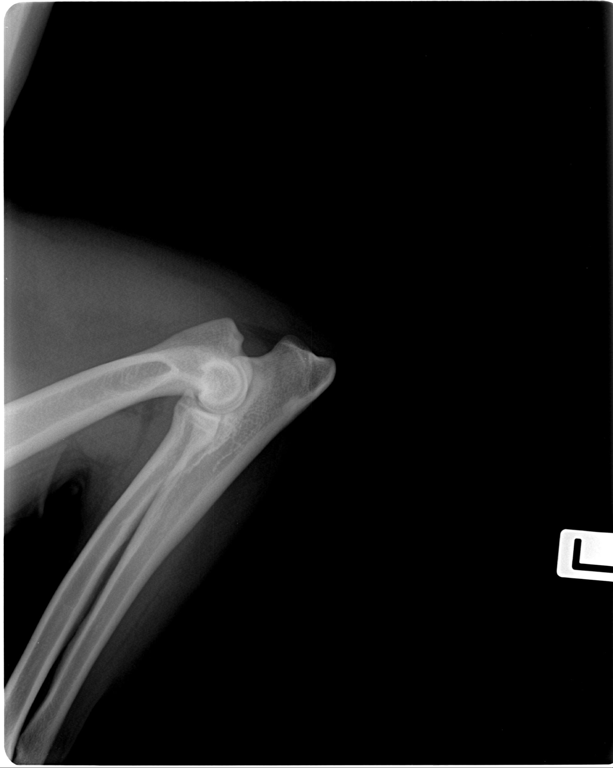
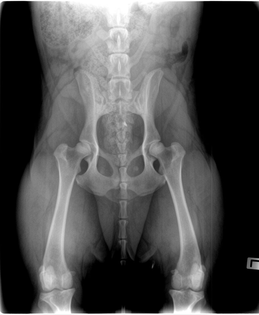
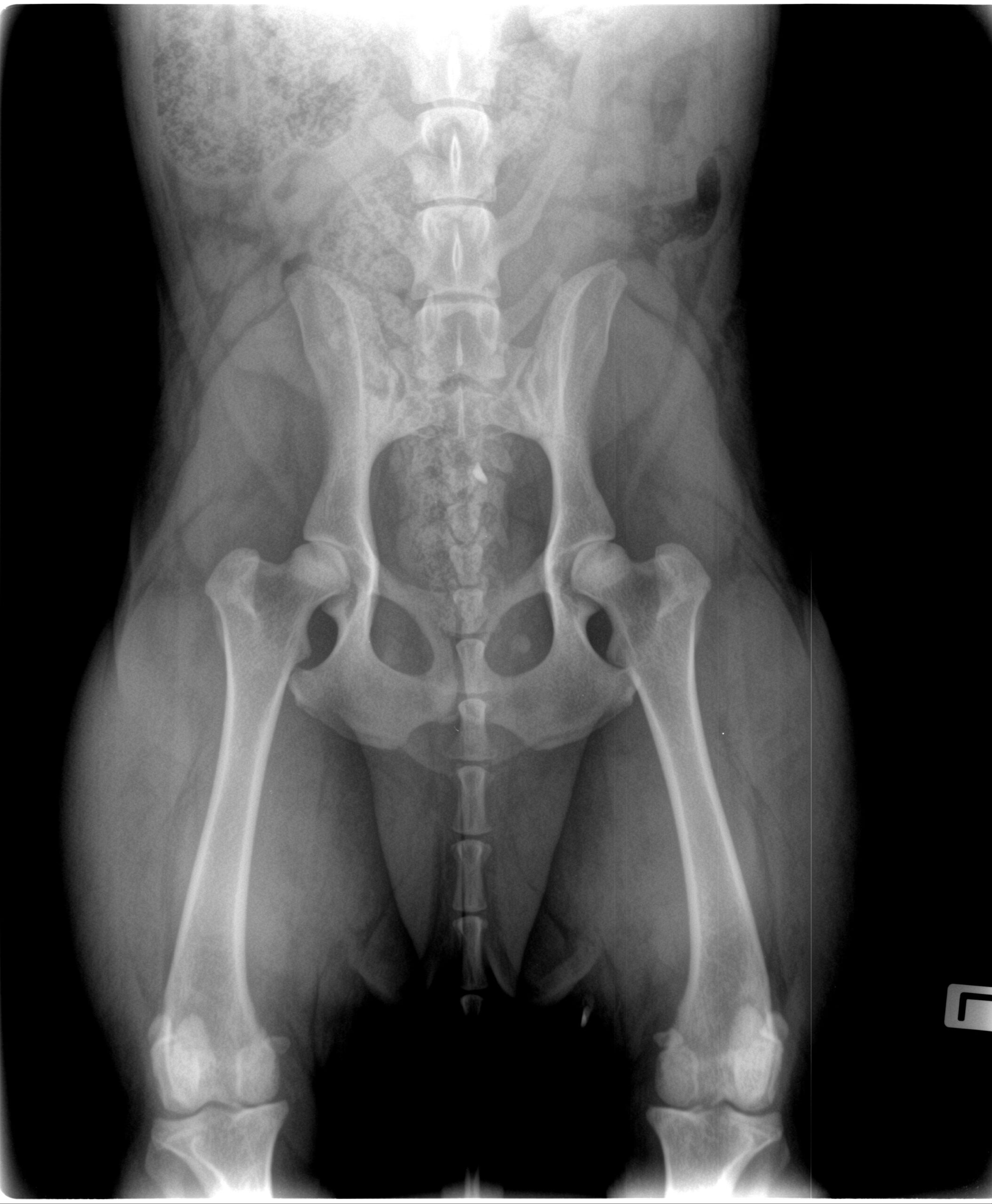
Röntgenaufnahmen

Ausgewählte Röntgenaufnahmen geben einen ergänzenden Einblick in die orthopädischen Untersuchungen dieses Zuchthundes. Die offiziellen Ergebnisse zu HD und ED finden Sie in der Übersicht oben. Weitere Nachweise stellen wir bei ernsthaftem Interesse gern zur Verfügung.

Würfe der Hündin

Würfe von Stil de Linnet Felicita

Die bisherigen Würfe von Stil de Linnet Felicita geben einen Einblick in ihre Nachzucht und unsere züchterische Planung. Auf den Wurfseiten finden Sie weitere Informationen zur Verpaarung, Aufzucht und Entwicklung der Welpen.

Labrador Welpen A Wurf (16)
MEYERDOGS LABRADOR

Interesse an einem Labrador Welpen aus unserer Zucht?

Unsere Labrador Welpen wachsen mit viel Zeit, Erfahrung und engem Familienkontakt auf. Wenn Sie sich für einen Welpen aus unserer VDH- Zucht interessieren, nehmen Sie gern Kontakt mit uns auf.